La revista Live Science se ha hecho eco de un estudio derivado de un caso clínico tan inusual como sorprendente y peligroso. Se trata del de un adolescente de 17 años que ingirió sin ser consciente de que lo había hecho un alfiler de costura. No se dio cuenta de lo ocurrido hasta que empezó a notar molestias y los médicos descubrieron el origen de las mismasatravesando su corazón.
Después de tres días con dolor en el pecho y diversas molestias en la zona, el joven decidió acudir a su servicio de urgencias para que lo revisarán. Explicó que se trata de un dolor agudo y que no se limitaba al pecho y que cuando se tumbaba y respiraba profundamente le dolía aún más. Los médicos le hicieron diversas pruebas y detectaron que el resultado del electrocardiograma no era normal.
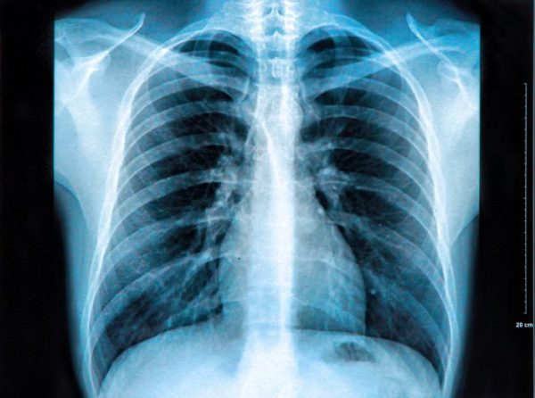
Al principio creyeron que podría tratarse de una inflamación del músculo cardíaco, una periomiocarditis, pero lo descartaron. Al hallar niveles altos de proteína en sangre barajaron la posibilidad de una lesión en el corazón. Finalmente, la pista definitiva de lo que estaba ocurriendo se la dio unescáner del pecho.
Fue al realizarse esta prueba cuando detectaron un objeto “metálico lineal” en su corazón. Calcularon que medía alrededor de 3,5 centímetros de largo y que un parte sobresalía del ventrículo izquierdo. Lo que no lograban averiguar es cómo había llegado hasta allí. Ni siquiera el propio paciente lo sabía.
Al final, tras varias entrevistas y explicar el adolescente que solía arreglarse él mismo la ropa y que en esas circunstancias a veces llevaba alfileres sujetos en la boca, apostaron a que probablemente el objeto era un utensilio de costura. El chico no recordaba habérselo tragado, pero cuando le sometieron a una operación a corazón abierto para extraérselo confirmaron las sospechas.
La teoría, según revela el informe recogido por El Confidencial, es que el alfiler pudo ir desde el estómago al corazón. Aunque también podría haber sido a través del tracto gastrointestinal. El paciente se recupera favorablemente.
“Se debe considerar seriamente extraer siempre los cuerpos extraños gástricos para prevenir complicaciones por migración como la sucedida en este caso”, han señalado los autores del estudio. Esta afirmación responde a la corriente médica que defiende que no siempre es necesario intervenir cuando se traga un objeto de pequeñas dimensiones.
En este sentido, hace un par de años un grupo de pediatras británicos y australianos llevaron a cabo un experimento que consistió en tragarse, ayudados por un vaso de agua, una cabeza de muñeco de Lego con el desayuno y estudiar sus deposiciones para calcular cuánto tiempo tardaba su cuerpo en expulsarla. Todas, salvo la de uno de los participantes, acabaron saliendo.
